EXCELENȚĂ ÎN STOMATOLOGIE. GRIJĂ PENTRU FIECARE PACIENT.

Descoperă o abordare personalizată și relaxată. La SmartSmile, punem sănătatea ta pe primul loc, folosind cele mai noi metode de diagnostic.

Te contactăm prin SMS sau WhatsApp pentru confirmare.

Medic stomatolog SmartSmile Clinic București, în cabinet modern

Prima vizită la clinică

  • Consult stomatologic amănunțit și discuție sinceră
  • Igienizare profesională (detartraj + periaj)
  • Plan de tratament clar, pe înțelesul tău, fără surprize

Prețuri transparente. Îți prezentăm oferta la prima vizită.

Servicii

Cabinet stomatologic curat, consult și igienizare
Consultație & Igienizare
Prevenția este cel mai ieftin tratament. Include detartraj, periaj profesional și un plan de tratament clar.
Tratament dental, terapie carii
Terapia Cariilor
Plombe estetice și durabile, realizate cu materiale de ultimă generație.
Cabinet stomatologic primitor, urgențe
Urgențe & Durere
Te ajutăm să scapi de durere rapid și eficient, fără programări de săptămâni întregi.

INVESTIȚIA ÎN ZÂMBETUL TĂU

Prețuri corecte, fără costuri ascunse. Primești planul de tratament detaliat după prima consultație.

Cea mai populară alegere

Pachet Prima Vizită

Consultație + Plan de Tratament + Evaluare Digitală

99 RON

Igienizare Completă

Detartraj, Airflow, Periaj profesional

290 RON

Terapia Cariilor

Plombe estetice, materiale premium

de la 250 RON

Urgență Stomatologică

Control + Scăpat de durere

150 RON

Prețurile sunt orientative. Costul final depinde de complexitatea cazului tău și va fi stabilit împreună cu medicul.

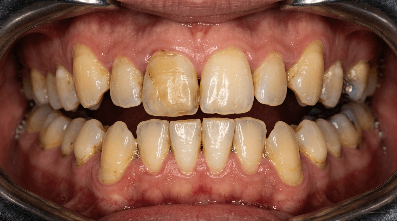
Înainte și după

ÎnainteÎnainte
După fațete / albireDupă fațete / albire

De ce noi

Echipamente moderne

Cabinete actualizate, instrumentar de încredere.

Materiale de calitate

Materiale certificate, durabile și sigure.

Transparență totală

Plan de tratament clar, fără costuri ascunse.

Încredere și transparență

Ce spun pacienții

Pacient Anca S., testimonial SmartSmile Clinic București

Anca S.

Am venit cu o frică teribilă de dentist. Doamna doctor a fost incredibil de răbdătoare și mi-a explicat fiecare pas. Am plecat fără durere și cu zâmbetul pe buze.

Pacient Mihai T., testimonial SmartSmile Clinic București

Mihai T.

O clinică curată, modernă și prețuri corecte pentru București. Planul de tratament a fost clar de la început, fără costuri surpriză la final.

Pacient Elena Popescu, testimonial SmartSmile Clinic București

Elena Popescu

Detartrajul și igienizarea au fost foarte bine făcute, fără disconfort. Recomand pentru stomatologie generală, echipa este de nota 10.